Vier gerenommeerde sprekers met nieuwe inzichten, technieken en materialen.
-
Walter van Driel
- De endodontische opening
- Rubberdam(ned?)
-
Michiel de Cleen
- Endodontische radiologie
- De verkleurde voortand
-
Marga Ree
- Invasieve cervicale resorptie
- Wortelkanaalcementen
-
Ron Fransman
- Calciumhydroxide?
- Irrigatie tot in de puntjes
Na afloop van het congres ENDO2010 waren de congresdeelnemers en de sprekers zo enthousiast dat toen al is besloten om 4 jaar later ENDO2014 te gaan organiseren. Met veel plezier presenteren wij u het nieuwe programma, helemaal up-to-date en vol interessante lezingen.
De wortelkanaalbehandeling stelt de tandarts nog steeds voor uitdagingen, of het nou gaat
om de behandeling van een pijnklacht in de weekenddienst of een endodontische revisie ter voorbereiding op een nieuwe kroon. Deze congresdag biedt voor alle tandartsen veel praktijkgerichte informatie. De nadruk ligt daarbij op onderwerpen die bij elke kanaalbehandeling terugkeren: radiologie, openen, spoelen, vullen. Opvallend is dat de sprekers alle vier zeer actuele achtergrondinformatie presenteren, aangevuld met talloze tricks and tips. Zodat u de kennis, zoals vergaard op dit congres, meteen kunt toepassen in uw praktijk.
Daarnaast is er speciale aandacht voor twee regelmatig voorkomende problemen in de praktijk. Marga Ree zal stil staan bij invasieve cervicale resorptie, een afwijking die veel vaker voorkomt dan we tot voor kort dachten. Michiel de Cleen behandelt het probleem van de donkerverkleurde voortand en hoe deze goed en veilig te behandelen. Over het gebruik van calciumhydroxide in de endodontie bestaat op dit moment veel verwarring. Wel of niet gebruiken? Ron Fransman geeft een duidelijk antwoord. En Walter van Driel zal laten zien dat kanaalbehandelingen veel beter, comfortabeler en efficiënter kunnen worden uitgevoerd als er rubberdam wordt gebruikt. Voor alle tandartsen interessant en zeer praktijkgericht.
Vier sprekers, acht lezingen. Relevant en boeiend. Met achtergrondinformatie en praktijktips. ENDO2014 is een dag die u niet mag missen!
-
09:00 - 09:45
ONTVANGST MET KOFFIE EN THEE
-
Paul Kalker
09:45 - 09:50
Welkom en opening van het congres
-
Marga Ree
09:50 - 09:55
Blok 1 - Introductie
-
Michiel de Cleen
09:55 - 10:25
Endodontische radiologie: zien is weten
Röntgenfoto’s spelen een cruciale rol bij de wortelkanaalbehandeling. Een goede diagnostiek, een correcte behandeling en een juiste beoordeling van het behandelresultaat zijn simpelweg niet mogelijk zonder röntgenfoto’s. Het is dan ook verwonderlijk dat in cursussen en lezingen zo weinig aandacht wordt besteed aan endodontische radiologie. In deze lezing laat Michiel de Cleen zien hoe u met een slim gebruik van simpele hulpmiddelen meer informatie uit uw röntgenfoto’s haalt. Daarnaast wordt kort stilgestaan bij de toepassing van conebeam computertomografie (CBCT) in de endodontie.
Leerdoelen:- De eisen die aan de diagnostische röntgenfoto(‘s) worden gesteld kunnen noemen
- Het indicatiegebied van conebeam computertomografie (CBCT) in de endodontie kunnen beschrijven
- Hulpmiddelen voor het vervaardigen van een goede lengtefoto kunnen toepassen
- De tijdstippen voor radiografische controle van endodontisch behandelde gebitselementen kunnen noemen
-
Walter van Driel
10:25 - 11:10
Openen voor endodontische diagnostiek en behandeling
De endodontische opening kan de functie hebben van een toegangscaviteit om een zogenaamde intracoronale kijkoperatie uit te voeren. Met zo’n kijkoperatie wordt beoogd het element intern toegankelijk te maken voor visuele inspectie, het mede stellen of bevestigen van de diagnose en het inschatten van de moeilijkheidsgraad van de behandeling en de haalbaarheid ervan.
Voor de uitvoering van de kanaalbehandeling bepaalt de opening het succes of mislukking van de daarop volgende reinigings-, vormgevings- en vulprocedures. Immers het ontwerp van de opening bepaalt in grote mate het kunnen lokaliseren van alle kanaalingangen, het behandelen van de wortelkanalen over de volledige preparatielengte en het kunnen restaureren van het element.
Deze presentatie bespreekt en toont hoe het openen van gebitselementen doelmatig en efficiënt kan zijn bij de endodontische diagnostiek, de pijnbestrijding en de kanaalbehandeling.Leerdoelen:- Het begrip intracoronale kijkoperatie kunnen beschrijven
- De unieke outline van de endodontische opening kunnen begrijpen
- Het belang van de endodontische opening voor de uitvoering van de kanaalbehandeling kunnen benoemen
- Specifiek instrumentarium kennen voor het prepareren van de opening
-
11:10 - 11:40
KOFFIEPAUZE
-
Michiel de Cleen
11:40 - 11:45
Blok 2 - Introductie
-
Ron Fransman
11:45 - 12:15
Calciumhydroxide: doen of niet doen?
Al sinds de jaren 30 van de vorige eeuw wordt calciumhydroxide gebruikt bij wortelkanaalbehandelingen. De laatste jaren staat het gebruik ervan steeds meer ter discussie en dan vooral in Nederland. Is dit terecht of niet? In deze lezing wordt een overzicht gegeven van het gebruik van calciumhydroxide in de endodontie, waarbij alle voor- en nadelen tegen elkaar afgewogen zullen worden. Natuurlijk zullen ook de verschillende applicatievormen en -methoden besproken worden.
Leerdoel:- Een bewuste en geïnformeerde keuze kunnen maken om wel of niet calciumhydroxide te gebruiken tijdens de wortelkanaalbehandeling
-
Marga Ree
12:15 - 13:00
Invasieve cervicale resorptie: hoe behandelen?
Invasieve cervicale resorptie (ICR) is een vorm van externe resorptie die niet altijd als zodanig wordt herkend tijdens een routineonderzoek. Omdat de pulpa pas in een heel laat stadium betrokken raakt bij het proces, kan deze conditie vaak gedurende lange tijd zonder enige klachten voortbestaan.
ICR wordt vaak ten onrechte voor cariës of interne resorptie aangezien, en dit kan resulteren in een onjuiste behandeling die tot voortijdig verlies van het element kan leiden. In deze presentatie zal de nadruk gelegd worden op de verschillende verschijningsvormen van invasieve cervicale resorptie en hoe deze in een vroeg stadium te diagnosticeren. Er zal een overzicht worden gegeven van de mogelijke oorzaken en de klinische en röntgenologische kenmerken. Tevens worden aan de hand van klinische casussen verschillende behandelstrategieën besproken die kunnen worden ingezet om het resorptieproces tot staan te brengen. Tot slot zal aandacht worden besteed aan het restaureren van een element dat is aangetast door ICR.Leerdoelen:- De klinische en röntgenologische kenmerken van ICR kunnen beschrijven
- De meerwaarde van een CBCT scan voor het stellen van een accurate diagnose kunnen begrijpen
- De indicatie voor een externe- versus een interne benadering van ICR kunnen noemen
- De prognose van een element met ICR kunnen inschatten
-
13:00 - 14:00
LUNCH
-
Ron Fransman
14:00 - 14:05
Blok 3 - Introductie
-
Walter van Driel
14:05 - 14:35
Rubberdam(ned?)
Veel tandartsen staan sceptisch tegenover het gebruik van rubberdam. Ze vinden het onnodig, niet praktisch, lastig en tijdrovend. Tandartsen denken ook vaak dat patiënten rubberdam niet prettig vinden, vooral niet tijdens het maken van röntgenfoto’s.
Bij de uitvoering van endodontische behandelingen is het gebruik van rubberdam echter noodzakelijk. Bescherming is hierbij het sleutelwoord. Het hele gebruik staat in het teken hiervan. Nog twee bijkomende voordelen zijn: de wortelkanaalbehandeling wordt eenvoudiger door een beter zicht op en toegang tot het werkterrein en de behandeling kan veel efficiënter worden uitgevoerd.
Deze presentatie toont diverse technieken en hulpmiddelen die het gebruik en aanbrengen van rubberdam makkelijker maken en het comfort voor de patiënt en tandarts verhogen.Leerdoelen:- De noodzaak van het gebruik van rubberdam bij de kanaalbehandeling kunnen benoemen
- De voordelen van rubberdam t.o.v. ander isolatietechnieken kunnen noemen
- De verschillende applicatietechnieken van rubberdam kennen
- Het gebruik van diverse hulpmiddelen bij de rubberdam kennen
-
Michiel de Cleen
14:35 - 15:20
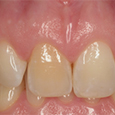
De verkleurde voortand: endodontische overwegingen
Na (sub)luxatie van gebitselementen kan al snel obliteratie van de pulpaholte optreden. Deze obliteratie leidt slechts zelden tot pulpadood, maar bijna altijd tot een ontsierende donkere verkleuring van de tand. Deze verkleuring kan worden gemaskeerd met een restauratie of worden verholpen door uitwendig of inwendig bleken van de tand. In dat laatste geval zal vaak een wortelkanaalbehandeling nodig zijn. In deze lezing worden de endodontische aspecten van obliteratie na (sub)luxatie besproken en worden manieren getoond om een verkleurde voortand veilig en mooi lichter te maken.
Leerdoelen:- De prevalentie van pulpadood na obliteratie als gevolg van (sub)luxatie kunnen noemen
- De specifieke moeilijkheden van het prepareren van een endodontische toegangscaviteit onderkennen
- Kunnen beschrijven hoe de pulpakamer wordt behandeld alvorens een walking bleach uit te voeren
-
15:20 - 15:45
THEEPAUZE
-
Walter van Driel
15:45 - 15:50
Blok 4 - Introductie
-
Marga Ree
15:50 - 16:20
Wortelkanaalcementen: bent u nog up-to-date?
Wortelkanaalcementen worden vaak als de zwakste schakel in de wortelkanaalvulling beschouwd, omdat ze in de loop der tijd kunnen oplossen. Dit kan leiden tot lekkage van de wortelkanaalvulling. Er is de afgelopen jaren naarstig gezocht naar verbetering van de materiaaleigenschappen van wortelkanaalcementen, met name naar producten die een chemische verbinding kunnen aangaan met het dentine van de kanaalwand. In deze presentatie wordt een overzicht gegeven van de nieuwe biokeramische wortelkanaalcementen, en worden de voor- en nadelen van deze endodontische sealers besproken. De bioactieve eigenschappen die aan deze cementen worden toegeschreven zullen nader worden toegelicht. Tot slot zal aan de hand van casuïstiek de indicaties voor het gebruik van deze cementen worden besproken.
Leerdoelen:- De voor- en nadelen kunnen noemen van biokeramische wortelkanaalcementen
- De bioactiviteit van deze producten kunnen beschrijven
- De klinische indicaties voor het gebruik van een biokeramische sealer kunnen benoemen
-
Ron Fransman
16:20 - 17:05
Irrigatie tot in de puntjes geregeld
Het is zeven jaar geleden dat wij dit onderwerp eerder behandelden. In de tussentijd is er veel veranderd. Hoewel hypochloriet nog steeds de ‘standard of care’ is, houden we ons tegenwoordig niet alleen maar bezig met de meest optimale concentratie maar ook met de pH-waarde van de oplossing.
Er zijn nieuwe irrigantia op de markt gekomen en er is ook meer bekend over de beste methodes en materialen om mee te irrigeren. Natuurlijk kijken we ook of er nog veelbelovende ontwikkelingen in de nabije toekomst te verwachten zijn.Leerdoel:- Een keuze kunnen maken uit de verschillende spoelmiddelen en -methoden om een zo optimaal mogelijke reiniging te bewerkstelligen
-
Paul Kalker
17:05 - 17:10
Afsluiting congres
-
17:10 - 18:00
BORREL
-
Walter van Driel
Walter van Driel studeerde van 1977 tot 1984 tandheelkunde aan de UvA. Van 1997-2005 was hij universitair docent endodontologie op het ACTA. Daarnaast heeft hij diverse functies vervuld binnen de NVvE en NMT. Hij is van diverse wetenschappelijke verenigingen lid en tevens Fellow van het International College of Dentists (ICD). Sinds 1986 heeft hij een verwijspraktijk voor endodontologie. Walter geeft veel lezingen en cursussen over endodontologie. Hij is eigenaar van het CIDE in Den Haag, een cursuscentrum voor praktische cursussen, met name op het gebied van de endodontologie.
-
Ron Fransman
Ron Fransman is tandarts-endodontoloog en heeft een verwijspraktijk in Amsterdam.
In 1998 heeft hij zijn specialisatie endodontologie voltooid. Hij geeft regelmatig cursussen en lezingen in binnen- en buitenland op het gebied van endodontologie. Ook heeft hij een aantal artikelen geschreven voor nationale en internationale vaktijdschriften. -
Michiel de Cleen
Michiel de Cleen studeerde tandheelkunde aan de UvA. Na zijn afstuderen in 1988 was hij tot 1995 als (gast)docent verbonden aan de vakgroep Cariologie en Endodontologie van ACTA. Hij voert thans een full-time endodontische praktijk in Amsterdam. Naast zijn klinische werkzaamheden is hij zeer regelmatig spreker op binnen- en buitenlandse congressen en is hij cursusdocent op het gebied van de endodontologie en tandletsels. Hij publiceert regelmatig in (inter)nationale vakbladen.
-
Marga Ree
Marga Ree studeerde in 1979 af als tandarts aan de UvA. In 2001 heeft zij haar specialisatie endodontologie voltooid met een Master of Science degree. Sindsdien geeft zij regelmatig cursussen en lezingen. Er staan diverse publicaties in (inter)nationale vaktijdschriften op haar naam. Op het gebied van algemene tandheelkunde en endodontologie schreef zij diverse hoofdstukken voor verschillende boeken. Sinds 1980 heeft zij een praktijk in Purmerend, waarvan de laatste dertien jaar een verwijspraktijk voor endodontologie.
Datum en locatie
Vrijdag 7 februari 2014, Auditorium, RAI Congrescentrum, Amsterdam. De RAI is uitstekend bereikbaar per auto en met het openbaar vervoer. Kijk voor de routebeschrijving op www.rai.nl bij Route & Contact.
Doelgroep en niveau
Tandartsen. Het niveau van het congres is afgestemd op deelnemers die als tandarts algemeen practicus zeer regelmatig patiënten behandelen.
Tarief
De congresfee bedraagt € 395,- (incl. BTW) per persoon (inclusief koffie, thee, lunch, borrel en deelnamecertificaat)
Accreditatie
Bureau Kalker is geaccrediteerd met het Q-Keurmerk en is aangesloten bij PE-Online. Deelname aan het congres ENDO2014 levert u 6 geaccrediteerde Q-KRT punten op. Deelnemers aan het congres ontvangen aan het einde van de dag een persoonlijk deelnamecertificaat met daarop het aantal Q-KRT accreditatiepunten vermeld.
Inschrijven en annuleringsvoorwaarden
U kunt zich inschrijven door onderstaand inschrijfformulier in te vullen. Na ontvangst van uw inschrijving sturen wij u een bevestiging.
De factuur voor uw congresdeelname wordt u niet eerder dan 15 oktober 2013 toegestuurd.
Bij annulering van uw inschrijving vóór onderstaande data worden de volgende annuleringskosten in rekening gebracht:
- voor 7 november 2013: géén annuleringskosten
- voor 7 december 2013: 25% annuleringskosten
- voor 7 januari 2014: 50% annuleringskosten
- voor 7 februari 2014: 90% annuleringskosten
ENDO2014 is een initiatief van Bureau Kalker in nauwe samenwerking met de sprekers. Bureau Kalker is een onafhankelijk congresorganisatiebureau, gespecialiseerd in de organisatie van klinische tandheelkundige congressen.
Informatie
U kunt voor aanvullende informatie contact opnemen met:
Paul Kalkerinfo@bureaukalker.nl
T. 020 - 615 99 36
M. 06 - 242 74 888
F. 020 - 337 99 83
www.endo2014.nl


























